
Paulo Monteiro, Doktor der Zahnmedizin und Experte für ästhetische Zahnheilkunde, gibt Einblick in sein erprobtes 7-Schritte-Protokoll zur adhäsiven Befestigung von Veneers. Dieses Verfahren erfordert höchste Präzision, da jedes Detail über die langfristige Ästhetik und Haltbarkeit entscheidet. Um ein ideales Ergebnis zu erhalten, setzt er diverse Solventum-Produkte ein. Sorgen auch Sie für optimale Ergebnisse mit den RelyX und Scotchbond Produktserien bei uns im Plandent Online-Shop!
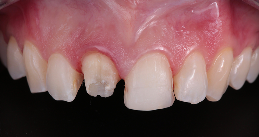
Veneers versprechen Patientinnen und Patienten ein beeindruckendes ästhetisches Ergebnis, vorausgesetzt alle Schritte der Behandlung sind perfekt ausgeführt. Besonders die Befestigung ist techniksensitiv: Keramische Veneers sind dünn und empfindlich, was Fehler umso sichtbarer macht.
Dr. Paulo Monteiro erläutert anhand dieser sieben wesentlichen Schritte, wie er eine erfolgreiche Befestigung durchführt:

Reinigen Sie den zu behandelnden Bereich gründlich, um Rückstände von Provisorien zu entfernen. Verwenden Sie hierbei mechanische Methoden wie eine Pumic-Schlämme oder ein Glycin-basiertes Prophy Powder aus der Clinpro-Serie. Produkte ohne Natriumbikarbonat schützen das Bonding und gewährleisten so eine schonende Reinigung.

Bevor das Veneer befestigt wird, sollte geprüft werden, ob Passform und Optik passen. Führen Sie daher eine Probeeinpassung der Veneers durch,

Verwenden Sie RelyX Veneer Paste Try-in-Pasten, um die Lichtdurchlässigkeit und Farbwirkung realistisch zu simulieren. Gerade bei dünnen Veneers beeinflusst das Zement die finale Ästhetik.

Bevor der Kofferdam angebracht wird, sollte gründlich gespült und getrocknet werden. Der Kofferdam dient dazu, ein sauberes und trockenes Arbeitsfeld während der Behandlung zu gewährleisten.

Führen Sie eine zweite Anprobe durch, um sicherzustellen, dass Passform und Isolation optimal aufeinander abgestimmt sind.

Glaskeramik-Veneers können mit Flusssäure (siehe Bild oben) vorbehandelt werden.

Bereiten Sie das Veneer je nach Material vor: Glas-Keramiken sollten geätzt werden, während Oxid-Keramiken lediglich sandgestrahlt werden können. Wichtig nach dem Ätzen ist die gründliche Reinigung danach (siehe Bild oben) mit Wasser.

Daraufhin wird das Veneer mit Silan behandelt. Hier eignet sich Scotchbond Universal Plus Adhäsiv als universeller Haftvermittler. Scotchbond ist für eine Vielzahl von Materialien geeignet und bietet hohe Stabilität.

Die Zahnoberfläche wird sorgfältig vorbereitet indem Kompositaufbauten oder Dentin mit Aluminiumoxid sandgestrahlt und abgespült werden.

Als weitere Vorbereitung wird sämtlich vorhandener Schmelz mit Phosphorsäure für 15 Sekunden geätzt, gespült und daraufhin getrocknet. Dafür geeignet ist das Scotchbond Universal Ätzgel von Solventum.

Daraufhin wird ein universeller Haftvermittler wie z.B. Scotchbond Universal Plus Adhäsiv aufgetragen, um eine optimale Haftung für die Befestigungskomposite zu gewährleisten.

Zum Schutz der benachbarten Zähne, wird ein PTFE-Band genutzt, damit diese beim Auftragen von Scotchbond Universal Plus Adhäsiv geschützt sind. Das Adhäsiv wird für 20 Sekunden eingerieben und daraufhin mit einem leichten Luftstrom getrocknet, bis das Adhäsiv sich nicht mehr bewegt. Ist dies korrekt aufgetragen, bildet sich ein glänzender Film auf der Klebefläche, wie hier zu sehen.

Für Veneers eignen sich am besten lichthärtende Befestigungskomposite, wie z.B. das RelyX Veneer Befestigungskomposit, da sie Ihnen eine unbegrenzte Verarbeitungszeit bieten. So bleibt Ihnen reichlich Zeit, das Veneer korrekt aufzusetzen. Alternativ kann bei dickeren Veneers auch ein dualhärtendes Befestigungskomposit genutzt werden.
Das Komposit wird auf die Innenseite des Veneers aufgetragen – achten Sie dabei auf eine gleichmäßige Applikation im Veneer, um Lufteinschlüsse zu vermeiden. Überschüsse können im Nachhinein ganz einfach entfernt werden.

Sobald das Komposit aufgetragen ist, kann das Veneer aufgesetzt werden. Entfernen Sie jeglichen Überschuss mit einem Schwamm und fixieren Sie das Veneer. Daraufhin entstandener Überfluss kann nun mit etwas Zahnseide entfernt werden.
Für die darauffolgende Lichthärtung wird hier das Elipar DeepCure-S Polymerisationsgerät genutzt. Mit Polymerisationslampen garantieren Sie eine gleichmäßige Polymerisation, auch in schwer zugänglichen Bereichen. Die Dauer der Aushärtung hängt von der Dicke des jeweiligen Veneers ab.

Nach erfolgreicher Lichthärtung wird der restliche Überschuss vorsichtig mit einer Klinge entfernt. Daraufhin können die Ränder mit Gummipolierern und Polierscheiben bearbeitet werden.
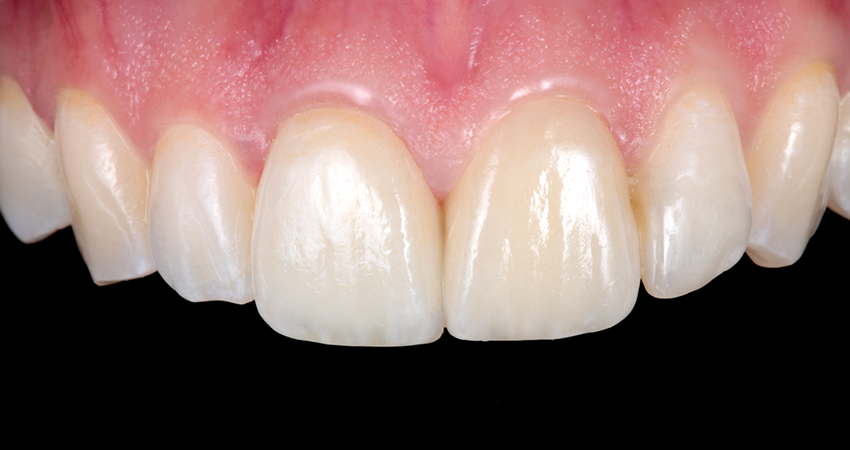
Jeder Schritt bei der Versorgung von Patient*innen mit Veneers ist bedeutend für das Endergebnis, jedoch ist die Befestigung der Höhepunkt von allen. Dr. Paulo Monteiro beschreibt genau, wie wichtig es ist, sich mit den Materialien und allen Schritten auszukennen um optimale Ergebnisse zu erhalten. Setzen Sie also auch bei der nächsten Veneer-Behandlung auf die bewährten Produkte von Solventum!
Der von Dr. Paulo Monteiro vorgestellte Fall demonstriert eindrucksvoll, wie wichtig hochwertige Materialien und definierte Arbeitsschritte bei der Arbeit mit Veneers sind. Zusammen mit der breiten Produktpalette von Solventum konnte so ein perfektes Ergebnis erzielt werden.
Erfahren Sie mehr über die Produktpalette von Solventum in unserem Plandent Online-Shop und bestellen Sie die passende Lösung für Ihre Praxis!
Bilder/Text: Solventum